Zum Inhalt

Anwendungen der FISH in der Diagnostik von Lungenkarzinomen

  • Open Access
  • 23.11.2020
  • Pathologie
Erschienen in:

Zusammenfassung

Die rasante Entwicklung im Bereich der Lungenkrebstherapie wurde maßgeblich auch durch die Entdeckung molekularer Marker und der damit verbundenen Möglichkeit einer personalisierten Therapie bestimmt. Die heutige Lungenkrebsdiagnostik stellt hohe Anforderungen an den Pathologen. An kleinen Gewebeproben muss nicht nur die Diagnose gestellt, sondern müssen auch alle therapierelevanten Biomarker getestet werden. Das verlangte Mindestmaß bei fortgeschrittenem nichtkleinzelligen Lungenkarzinom („non small cell lung cancer“, NSCLC) mit Nicht-Plattenepithel-Histologie umfasst die Testung von EGFR, BRAF, ALK, ROS1 und PD-L1. Für Plattenepithelkarzinome ist bislang nur die PD-L1-IHC (Immunhistochemie, IHC) gefordert. Nach Möglichkeit sollten neuere Biomarker wie RET, MET, HER2, NTRK und KRAS integriert werden. Die Fluoreszenz-in-situ-Hybridisierung („fluorescence in situ hybridization“, FISH) ist eine gut-etablierte Methode zum Nachweis einer ALK-, ROS1- und RET-Translokation, wobei die ALK-IHC als gleichwertig anerkannt wurde. Die Relevanz der MET-FISH zum Amplifikationsnachweis im First-line-Setting ist umstritten. Nicht eindeutige Fälle sollten immer mit einem orthogonalen Verfahren validiert werden. Hierzu eignet sich bei ALK und ROS1 die IHC mit dem Vorteil schneller und kostengünstiger Testergebnisse sowie geringen Gewebeverbrauchs. Bei allen anderen Translokationen oder bei Diskrepanz zwischen IHC und FISH sollte ein sequenzierungsbasiertes Verfahren ergänzt werden. Zur Detektion der seltenen NTRK-Fusionen eignet sich bei hoher Sensitivität ein IHC-Vorscreening; die sequenzierungsbasierte Analyse ist hier bei Positivität zur Bestätigung indiziert.
Dieser Beitrag wurde in der Zeitschrift Der Pathologe 6 · (2020) 41:582–588. https://doi.org/10.1007/s00292-020-00831-7 erstpubliziert. Zweitpublikation mit freundlicher Genehmigung der Autoren.
Das Bronchialkarzinom ist die häufigste krebsbedingte Todesursache weltweit [23]. In ca. 85 % der Fälle wird ein nichtkleinzelliges Bronchialkarzinom (NSCLC) diagnostiziert. Histologisch wird zwischen den Haupttypen pulmonalem Adenokarzinom („lung adenocarcinoma“, LUAD) und Plattenepithelkarzinom („lung squamous cell carcinoma“, LUSC) sowie weiteren seltenen Subtypen (NOS, adenosquamöses Bronchialkarzinom etc.) unterschieden [23]. Neben der morphologiebasierten Klassifikation wurde eine biomarkerbasierte Einteilung etabliert, die vor allem therapeutisch fundamental wegweisend ist.

Biomarkerbasierte Einteilung und Stellenwert der Fluoreszenz-in-situ-Hybridisierung

Den Meilenstein für die biomarkerbasierte Therapie im NSCLC legte die Entdeckung der aktivierenden Mutationen im EGFR-Gen 2004 [19]. Seither wurden weitere therapierelevante Biomarker identifiziert, deren Analyse leitliniengemäß fester Bestandteil bei der Erstdiagnose jedes NSCLC im fortgeschrittenen Stadium ist [16]. Die Durchführung dieser Analysen variiert geografisch in Abhängigkeit der Verfügbarkeit von Arzneimitteln und den jeweils erforderlichen Tests. In Europa wird für alle Tumore mit Nicht-Plattenepithel-Histologie mindestens die Untersuchung von EGFR, BRAF, ALK, ROS1 sowie auch der PD-L1-Expressionsstatus gefordert [16, 20]. Idealerweise sollten die molekularen Analysen auf die neueren Zielstrukturen MET, RET, ERBB2, NTRK und KRAS ausgeweitet werden ([20]; Abb. 1). Bislang wird für LUSC nur die PD-L1-Testung verlangt [20], aber auch hier entwickelt sich das Feld der personalisierten Therapie weiter (Abb. 1.) Die Fluoreszenz-in-situ-Hybridisierung (FISH) hat früh Eingang in die Routinediagnostik des NSCLC gefunden, da sie es erlaubt, rasch, präzise und gewebesparend bestimmte genetische Veränderungen nachzuweisen. Obwohl neuere, umfassendere molekulare Methoden, wie z. B. die (RNA‑)sequenzierungsbasierte Fusionsdetektion, an Aufmerksamkeit gewinnen, ist die FISH nach wie vor der Goldstandard zum Nachweis von therapierelevanten Gentranslokationen und Amplifikation im NSCLC.
Abb. 1
Therapierelevante Biomarker: Darstellung der NSCLC-relevanten (NSCLC, nichtkleinzelliges Bronchialkarzinom) Biomarker und der Etappen der molekularen Aufarbeitung. Unabdingbare Biomarker sind in fett hervorgehoben. RET-FISH- und NTRK-IHC werden erst bei Negativität der anderen Marker ergänzt. *pulmonale Adenokarzinome und Nicht-Plattenepithel-Histologie; **MET-IHC-Vorscreening; FISH wird zur Bestätigung benötigt; LUAD pulmonales Adenokarzinom, LUSC Plattenepithelkarzinom, wt wildtyp, mut mutiert, amp amplifiziert, + positiv,  negativ, ~ diskrepant/zweifelhaft
Bild vergrößern
Besondere Schwierigkeiten können sehr kleine Gewebeproben, artifiziell alteriertes Gewebe, Nekrose- oder Entzündungsareale mit vielen Makrophagen (falsch positive Sondenanreicherung) oder Fixierungsartefakte hervorrufen. Daher sollten alle Fälle immer (zusätzlich) von einem erfahrenen Auswerter gesichtet werden, der die zahlreichen möglichen Fallstricke kennt und interpretieren kann.
Ein aussagekräftiger Befund, der neben dem Ergebnis auch die verwendetet Sonde, die Anzahl der gezählten Tumorzellen sowie den Schwellenwert der verwendeten Sonde angibt und vor allem das Untersuchungsergebnis in den klinischen Kontext einordnet, ist bei jeder Analyse wünschenswert.

ALK

Eine ALK-Translokation in Form einer inversen Fusion mit dem EML4-Gen wurde erstmals 2007 nachgewiesen [24]. Mittlerweile sind über 15 EML4-ALK-Fusionsvarianten und weitere Fusionspartner bekannt [26]. Für die 3–5 % der Patienten mit ALK-positivem NSCLC ist seit 2012 Crizotinib (Xalkori®, Pfizer Oncology, New York, USA) durch die European Medicines Agency (EMA) zugelassen ohne Kopplung an eine festgelegte Nachweismethode [1]. Gängige ALK Dual-Colour-Break-Apart-Sonden markieren das 3′- (rot) und das 5′- (grün) Ende von ALK. Sind 5′- und 3′-Signale einer Tumorzelle verschmolzen, liegt definitionsgemäß ein Fusionsmuster vor (ALK-negativ). Ein Bruchmuster ist definiert durch separate 5′- und 3′-Signale in einem Abstand von 2 oder mehr Signaldurchmessern in einer Tumorzelle (Tab. 1). Dieser Abstand wurde basierend auf Testungen mit dem Vysis LSI ALK Break-Apart FISH Probe Kit (Abbott Laboratories, Illinois, USA.) festgelegt. Wird ein anderes analytisches Reagenz verwendet, kann die Sondengröße variieren, was Unterschiede in der Definition eines Bruchmusters zur Folge haben kann [26]. Generell empfiehlt es sich, immer die Anweisungen des jeweiligen Herstellers zu befolgen. Bei einer ALK-EML4-Inversion kann der Abstand auch kleiner sein (die Gene liegen in unmittelbarer Nachbarschaft voneinander auf Chromosom 2). Eine EML4/ALK-Tricheck-Sonde (wie ZytoLight® SPEC ALK/EML4 TriCheck™, ZytoVision GmbH, Bremerhaven, Deutschland), die zusätzlich EML4 (blau) markiert, erleichtert den Nachweis einer ALK-EML4-Translokation [8]. Visualisiert wird eine ALK-EML4-Fusion durch separate grüne und rote Signale mit jeweils einem kolokalisierten blauen Signal (zusätzliches blaues Signal durch Bruch und EML4-Genumlagerung) (Abb. 2). Eine Nicht-EML4-ALK-Translokation weist ein ALK-Bruchmuster ohne Änderung der EML4-Signale auf [22]. Für robust reproduzierbare Ergebnisse sollten Tumorzellen in mindestens 4 verschiedene Gesichtsfeldern ausgezählt werden, da eine gewisse intratumorale Heterogenität vorliegen kann [26]. Positive Studienergebnisse, die zur Zulassung von ALK-TKI führten, motivierten zu einem Grenzwert von 15 % [13] bezogen auf mindestens 50 ausgewertete Tumorzellen [26]. In der Mehrheit der Fälle kann der ALK-Status im NSCLC anhand des Cutoff von 15 % zuverlässig bestimmt werden. Grenzfälle mit 10–20 % ALK-positiven Tumorzellen sollten reevaluiert und mittels einer weiteren Testmethode untersucht werden [26]. Diagnostisch anspruchsvoll sind zudem Tumoren mit einem isolierten 3′-Signalmuster beruhend auf einer Deletion des 5′-Signals nach Neuanordnung der ALK-Tyrosinkinase-Domäne im 3′-Ende. Diese machen bis zu 5 % der positiven Fälle aus. Die TriCheck™-Sonde kann hier das Vorliegen einer ALK/EML4-Fusion bestätigen [22]. Das extrem selten vorkommende Signalmuster mit isolierten 5′-Signalen wurde jedoch initial als negativ gewertet [26]. In kleinen Fallserien wurden bei Tumoren mit intratumoral 60–87 % isolierten 5′-Signalen und positiver ALK-IHC eine ALK-Translokation mittels sequenzierungsbasierten Verfahren nachgewiesen und die Patienten erfolgreich mit Crizotinib therapiert [6]. Dies unterstreicht die Bedeutung der Validierung schwieriger Signalmuster mittels orthogonaler Methoden. Hierfür empfiehlt sich vor allem die (RNA‑)sequenzierungsbasierte Fusionsdetektion. Bei gängigeren ALK-Mustern ist die IHC sequenzierungsbasierten Methoden gleichwertig, da die immunhistochemische ALK-Proteinexpression überzeugend mit dem Vorhandensein einer ALK-Translokation korreliert, sodass die ALK-IHC als Screeninginstrument und sogar als Primärtest für die Auswahl von Patienten für die ALK-TKI-Therapie zugelassen ist [16, 20]. Über die IHC ist allerdings die Identifikation des jeweiligen Fusionspartners oder der jeweiligen ALK-Variante nicht möglich, was offenbar prognostische Relevanz hat [15] und von großem akademischem Interesse ist. Aktuell hat der Nachweis der Variante im klinischen Alltag bei der Primärdiagnostik jedoch keine therapeutische Konsequenz und wird daher nicht routinemäßig durchgeführt.
Tab. 1
Fluoreszenz-in-situ-Hybridisierungs(FISH)-Signalmuster: Schematische Übersicht der Signalmuster der ALK-/ROS1- und RET-FISH-Sonde und ihre Interpretation bezügliche des Vorliegens einer Translokation
Sonden/Norm-Signalverteilung
Aberrante Signalverteilung
Interpretation
ALK
ALK-EML4
Nicht-ALK-EML4-Translokation
ALK-EML4-Inversion
ALK-Translokationsstatus positiv (≥15 % Bruchsignale in den Tumorzellen)
ALK isolierte 3′-Signale (rot)
ALK-Translokationsstatus (≥15 % ALK-isolierte 3′-Signale)
Interpretation im Kontext der ALK-Immunhistochemie, ggf. Bestätigung durch sequenzierungsbasiertes Verfahren
Ohne EML4
Mit EML4
ALK isolierte 5′-Signale (grün)
ALK-Translokationsstatus (≥15 % ALK-isolierte 5′-Signale) in Kombination mit einer positiven ALK-Immunhistochemie ein sequenzierungsbasiertes Verfahren anschließen
ROS1 und RET
ROSI1-/RET-Translokation
ROS1-Translokationsstatus positiv (≥15 % Bruchsignale in den Tumorzellen);
RET-Translokationsstatus (≥20 % Bruchsignale in den Tumorzellen)
ROSI1-/RET-isolierte 3′-Signale (grün)
ROS1-Translokationsstatus positiv (ROS1-isolierte 3′-Signale ≥20 %);
RET-Translokationsstatus (RET-isolierte 3′-Signale ≥20 %)
Bestätigung mittels sequenzierungsbasierten Verfahrens
ROS1-/RET- atypische Signalmust (isolierte 5′-Signale (rot))
ROS1-/RET-Translokationsstatus zweifelhaft; bei allen konstant aberranten Mustern u. a. isolierte 5´ Signale in >20% der Zellen sollte eine Validierung mittels eines orthogonalen/sequenzierungsbasierten Verfahrens durchgeführt werden
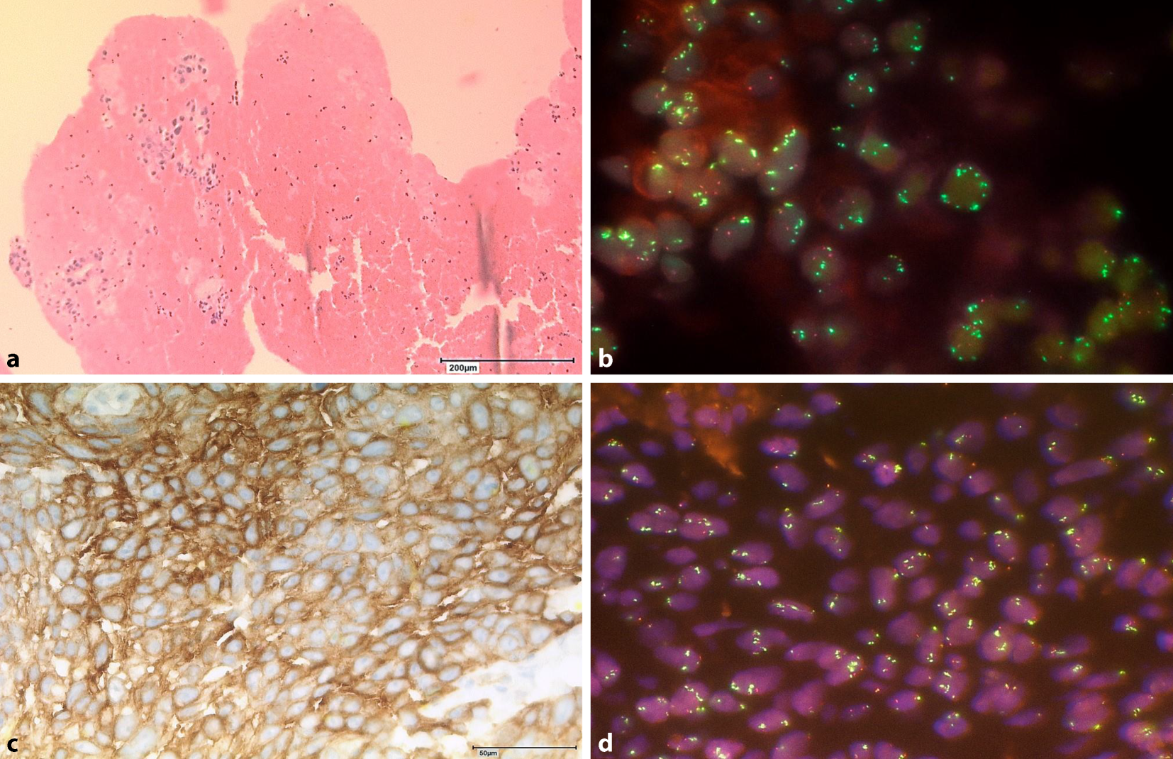
Abb. 2
Fusionsdetektion. a Kräftig zytoplasmatische Immunhistochemie(IHC)-Positivität für ALK (Klon 1A4, Zytomed Systems GmbH, Berlin, Deutschland) in der Metastase eines pulmonalen Adenokarzinoms (Vergr. 40:1), b korrespondierendes positives ALK-FISH-Ergebnis mit 78 % separaten 3′-Signalen (rot), kolokalisiert mit EML4 (blau, Vergr. 63:1). c Zytoplasmatisch kräftiger ROS1-IHC-Nachweis (Klon D4D6, Cell signaling, Danvers, USA) (Vergr. 40:1), d korrespondierend positive ROS1-FISH (ZytoLight© SPEC ROS1 Dual Color Break Apart Probe, ZytoVision GmbH, Bremerhaven, Deutschland) mit separaten roten und grünen Signalen (Bruchmuster, Vergr. 63:1). e Gering differenziertes pulmonales Adenokarzinom in der Hämatoxylin-Eosin-Färbung (Vergr. 40:1). f Positive RET-FISH (ZytoLight® SPEC RET Dual Color Break Apart Probe, ZytoVision GmbH, Bremerhaven, Deutschland) mit separaten (extra) grünen Signalen in allen Tumorzellen (Vergr. 63:1) validiert durch einen RET-Translokationsnachweis mittels sequenzierungsbasierter Analyse (ARCHER®, Archer FusionPlex, Archer Dx, Boulder, CO, USA)
Bild vergrößern
Alle nicht eindeutigen Fälle (ungewöhnliches Signalmuster oder gängiges/beschriebenes Signalmuster, aber Diskrepanz zwischen ALK-FISH und ALK-IHC) sollten immer ergänzend durch sequenzierungsbasierte Methoden getestet werden [16].

ROS1

Weit über 20 ROS1-Fusionspartner sind bekannt, dabei liegt der größte Teil nicht wie ROS1 auf Chromosom 6. Etwa 1–2 % der pulmonalen Adenokarzinome zeigen eine ROS1-Translokation [26]. Der diagnostische Goldstandard ist die FISH mittels einer Dual-Colour-Break-Apart-FISH-Sonde. Diverse Probensets sind kommerziell erhältlich, die den 5′-Teil (telomer) und den 3′-Teil (zentromer) von ROS1 erkennen, dabei variieren die Genabschnitte, die von den Sonden erfasst werden [26]. In allen bekannten Fusionsgenen ist die ROS1-Tyrosinkinase-Domäne am 3′-Ende [9]. Hier existieren 2 positive ROS1-Signalkategorien (Tab. 1): Das „klassische“ Bruchmuster mit separaten grünen und roten Signalen im Mindestabstand von einem Signaldurchmesser (Abb. 2) und das „atypische“ Muster mit isolierten 3′-Signalen [9]. Der Grenzwert für ein positives Ergebnis liegt beim Nachweis von 15 % und mehr Tumorzellen mit „klassischem“ Bruchmuster oder „atypischem“ Muster [26]. Das atypische Muster, das in einer großen Kohorte von ROS1-translozierten LUAD in annähernd 50 % vorkommen kann, birgt die Gefahr eines falsch positiven Ergebnisses [9]. Somit sollten alle atypischen Muster mittels eines orthogonalen Verfahrens validiert werden, wobei hier sequenzierungsbasierte Tests empfehlenswert sind. Die ROS1-IHC eignet sich aufgrund einer hohen Sensitivität für eine ROS1-Translokation, bei allerdings geringer Spezifität [16, 20, 26] nur bedingt zur Validierung untypischer Muster. Sie kann aber zum Vorscreening herangezogen werden und insgesamt somit die Zahl der notwendigen FISH-Untersuchungen reduzieren.
Die Bedeutung eines nach konventionellem Grenzwert knapp positiven ROS1-FISH-Ergebnis bei gleichzeitig positiver ROS1-IHC und zusätzlichem Nachweis einer weiteren begleitenden Treibermutationen (wie z. B. EGFR) ist nicht abschließend geklärt [29].

RET

Die Prävalenz der RET-Translokation beträgt in LUAD 1–2 % [11]. Bislang sollte die Testung nur im Rahmen eines erweiterten Panels oder bei initial negativem EGFR-, ALK- und ROS1-Ergebnis durchgeführt werden [16]. Verschiedene Fusionspartner wurden identifiziert, wobei die RET-Fusion mit KIF5B auf dem gleichen Chromosom (chr10) am besten charakterisiert ist. Analog zur ALK-EML4-Fusion liegt eine parazentrische Inversion vor [11]. Allen Fusionen ist die ligandenunabhängige Aktivierung der RET-Tyrosinkinase gemeinsam, was das Ansprechen auf Multikinaseinhibitoren erklärt [11]. Diagnostisch ist die RET-FISH-Analyse eine hochsensitive Nachweismethode einer RET-Fusion [27]. Das häufigste Signalmuster ist ein Fusionssignal neben einem separaten 3′- und 5′-Signal ([14]; Abb. 2). In Analogie zu ROS1 sind auch translozierte RET-Fälle mit isoliertem 3′-Signal als prädominiertes FISH-Signalmuster beschrieben, die in einem Kollektiv knapp ein Drittel ausmachen können [14].
Für die RET-IHC besteht bisher keine Anwendungsempfehlung [16], sodass in zweifelhaften Fällen hier immer eine sequenzierungsbasierte Analyse zur Bestätigung einer RET-Fusion angestrebt werden sollte.
Nach Studien ist ein Grenzwert ab 20 % Zellen mit einem aberranten Signalmuster für ein positives Ergebnis plausibel ([14, 27]; Tab. 1). Die Beurteilung ist besonders herausfordernd, da geteilte RET-Signale zum Teil im Abstand von nur einem Signaldurchmesser liegen [14]. Daher empfiehlt sich besonders bei der RET-FISH die Auswertung durch erfahrene Pathologen/Auswerter.

MET

MET codiert den „hepatocyte growth factor receptor“ (HGFR) und liegt auf Chromosom 7. Initial wurden eine MET-Genaberrationen im Rahmen einer erworbenen Resistenz auf EGFR-TKIs nachgewiesen [4]. Die Rolle von MET-Genveränderungen als onkogene Treiber ist nicht abschließend geklärt. Bisher hat sich der Nachweis von 2 teilweise überlappenden MET-Alterationen in NSCLC hinsichtlich therapeutischer Ansätze als vielversprechend erwiesen: MET-Exon-14(METex14)-skipping-Mutationen, die durch ein Überspringen von Exon 14 einen reduzierten Proteinabbau zur Folge haben [12] und die Amplifikation des MET-Gens [3, 10]. Die Nachweismethode der Wahl einer Amplifikation ist die FISH Analyse. Dual-Colour-FISH-Sonden markieren das MET-Gen und den zentromeren Teil von Chromosom 7 (CEN 7). Bei der Polysomie ist die Kopieanzahl beider Sonden identisch und gesteigert (>2/Zelle). Eine echte Amplifikation liegt bei isoliert vermehrten MET-Signalen vor, was die Ratio (MET/CEN 7) anhebt ([10]; Abb. 3). MET-Amplifikationen sind in gleicher Frequenz in LUAD und LUSC nachzuweisen [21]. Aufgrund von fokal amplifizierten Tumorklonen („hot spots“) und Fällen mit isoliert amplifizierten Zellen in fleckförmiger Verteilung im gesamten Tumorgewebe ist ein komplettes Tumorscreening unerlässlich. Bislang wurde empfohlen, 60 Tumorzellen in 3 Arealen mit der höchsten MET-Genkopiezahl auszuzählen (3 × 20 Zellen). Verschiedene Auswertungsalgorithmen wurden postuliert [3, 21]: Neben einem MET/CEN 7-Verhältnis ≥2,0 werden Fälle mit einer durchschnittlichen MET-Genkopiezahl von ≥5 bzw. ≥6 als positiv gewertet sowie eine intermediär (≥50 % mit ≥5 MET-Genkopien) und eine niedrige MET-Amplifikation (≥40 % mit ≥4 Kopien) abgegrenzt.
Abb. 3
MET-Nachweis. a Feinnadelpunktion eines pulmonalen Adenokarzinoms (HE-Färbung, Vergr. 40:1). b Nachweis der MET-Amplifikation mit Ratio (MET/CEN 7) 2,06 und durchschnittlicher MET-Genkopiezahl von 12,15 mittels FISH (ZytoLight® SPEC MET/CEN 7 Dual Color Probe, ZytoVision GmbH, Bremerhaven, Deutschland) (Vergr. 63:1). c Kräftige zytoplasmatische MET-IHC-Positivität (Klon SP44, Roche, Basel, Schweiz) (Vergr. 40:1). d Korrespondierende MET-Amplifikation mit Ratio (MET/CEN 7) von 3,7 und durchschnittlicher MET-Genkopiezahl von 7,70 (Vergr. 63:1)
Bild vergrößern
Der Stellenwert der MET-Amplifikation im primären Bronchialkarzinom bleibt jedoch umstritten und nach aktuellen Studien als Prognosefaktor für das Ansprechen einer MET-Inhibitor-Therapie dem Nachweis einer METex14-skipping-Mutation unterlegen [30]. Die therapeutische Rolle einer Top-Level-MET-Amplifikation (durchschnittlich ≥10 MET) in LUSC, die mit einer besonders schlechten Prognose assoziiert ist [18], bleibt noch offen. Nach aktueller Empfehlung soll die MET-Analyse integriert in erweiterte Biomarkerpanels nach negativem Ergebnis für EGFR, ALK und ROS1 und vor allem in der Resistenzsituation (s. Abschn. „Diagnostik bei erworbener Arzneimittelresistenz“) durchgeführt werden [16]. Die MET-IHC ist nicht standardisiert und korreliert nur mit einer MET-Amplifikation, während das IHC-Ergebnis bei einer MET-Exon-14-skipping-Mutation heterogen und offenbar ohne Vorhersagewert ist [2].

Neue Biomarker

Zu den neueren Biomarkern gehören vor allem die Gene der neurotrophen Tropomyosinrezeptorkinase (NTRK) – NTRK1, NTRK2 und NTRK3 –, die 3 TRK-Proteine (TRKA, TRKB und TRKC) codieren. NTRK-Translokationen treten in bis zu 4 % der NSCLC auf [28]. Vielversprechende Studienergebnisse führten bereits zur FDA-Zulassung von Larotrectinib, einem selektiven panTRK-Inhibitor [28]. Der Nachweis im Rahmen der Zulassungsstudien erfolgte NGS-basiert oder mittels FISH. Eine Multiplex-FISH mit 3 separaten FISH-Assays ist technisch möglich und aussagekräftig, aber teuer, zeitaufwendig und erfordert viel Erfahrung bei der Interpretation. Gut in der Diagnostik etabliert ist bisher nur die ETV6-NTRK-FISH [17]. Die panNTRK-IHC zeigte in Studien einen zuverlässigen Nachweis aller NTRK-Fusionen und wird daher vor allem zum Vorscreening einer NTRK-Fusion empfohlen [7], wobei schon der geringste IHC-Proteinnachweis eine Multipanel-NTRK-Genanalyse oder FISH-Analyse nach sich ziehen sollte [17].

Diagnostik bei erworbener Arzneimittelresistenz

Die erworbene Arzneimittelresistenz bleibt ein kritisches Hindernis für die Wirksamkeitsmaximierung gezielter Therapien im NSCLC. Zu den Mechanismen gehören zielabhängige und zielunabhängige Veränderungen. Der Minimalalgorithmus für die TKI-Resistenztestung ist nicht nur von akademischem Interesse, sondern maßgeblich für klinische Therapieentscheidungen und umfasst den Nachweis/die Bestätigung des initialen Treibermechanismus (EGFR-Mutation, ALK- oder ROS1-Translokation) sowie zusätzlich die Detektion einer möglichen MET-, HER2- oder ALK-Amplifikation als Resistenzmechanismus. Analog zur MET-FISH markieren Dual-Colour-Sonden das Zielgen (ALK/HER2) und das zugehörige Zentromer (CEN 2/CEN 17). Der Grenzwert für eine HER2-Amplifikation liegt bei einer Ratio (HER2/CEN 17) von ≥2,2 oder einer Genkopiezahl von >15 in 10 % der Zellen. Fälle im Graubereich (Ratio 1,8–2,2) sollten eingehend kontrolliert und mittels eines weiteren Verfahrens eingeordnet werden [25]. Eine ALK-Amplifikation wird bereits ab einer Ratio >2 angenommen [5].
Die Detektion von (High-level-)MET-Amplifikationen unter TKI- Resistenzentwicklung hat einen besonders hohen Stellenwert, da diese therapeutisch adressierbar sind (Kombination aus EGFR- und MET-TKI), und ist möglicherweise sogar höher einzuschätzen als in der Primärdiagnostik.

Fazit für die Praxis

  • Fluoreszenz-in-situ-Hybridisierung (FISH) ist eine präzise, schnelle und relativ kostengünstige Nachweismethode von relevanten Genveränderungen im nichtkleinzelligen Lungenkarzinom (NSCLC).
  • Bei der ALK-Testung darf die ALK-IHC (Immunhistochemie) als gleichwertig angesehen werden, eine Bestätigung mittels FISH-Analyse ist allerdings trotzdem angeraten.
  • Für andere Biomarker (ROS1, RET) korreliert die IHC nicht eindeutig mit der Translokation und FISH bleibt die Methode der Wahl.
  • Next-Generation-Sequencing(NGS)-basierte Sequenzierungsverfahren sollten bei allen diskrepanten/ungewöhnlichen FISH-Fällen hinzugezogen werden.
  • Beim Nachweis von Amplifikationen (u. a. MET) ist die FISH den sequenzierungsbasierten Verfahren bisher überlegen.
  • Für alle FISH Analysen ist die gute Vorkenntnis des Untersuchers essenziell; die Signalmuster der Sonden müssen genau gekannt werden, die Ergebnisse im Gesamtkontext der Erkrankung interpretiert und hinterfragt werden.
  • Die Erstellung eines FISH-Befundes mit aussagekräftigem Ergebnis, aber auch unter Angabe des verwendeten Sondensystems, der Anzahl der gezählten Tumorzellen, des Schwellenwertes und auch ggf. Besonderheiten/Schwierigkeiten ist wünschenswert.

Einhaltung ethischer Richtlinien

Interessenkonflikt

L. Hieggelke und A. M. Schultheis geben an, dass kein Interessenkonflikt besteht.
Für diesen Beitrag wurden von den Autoren keine Studien an Menschen oder Tieren durchgeführt. Für die aufgeführten Studien gelten die jeweils dort angegebenen ethischen Richtlinien.
Open Access Dieser Artikel wird unter der Creative Commons Namensnennung 4.0 International Lizenz veröffentlicht, welche die Nutzung, Vervielfältigung, Bearbeitung, Verbreitung und Wiedergabe in jeglichem Medium und Format erlaubt, sofern Sie den/die ursprünglichen Autor(en) und die Quelle ordnungsgemäß nennen, einen Link zur Creative Commons Lizenz beifügen und angeben, ob Änderungen vorgenommen wurden.
Die in diesem Artikel enthaltenen Bilder und sonstiges Drittmaterial unterliegen ebenfalls der genannten Creative Commons Lizenz, sofern sich aus der Abbildungslegende nichts anderes ergibt. Sofern das betreffende Material nicht unter der genannten Creative Commons Lizenz steht und die betreffende Handlung nicht nach gesetzlichen Vorschriften erlaubt ist, ist für die oben aufgeführten Weiterverwendungen des Materials die Einwilligung des jeweiligen Rechteinhabers einzuholen.
Weitere Details zur Lizenz entnehmen Sie bitte der Lizenzinformation auf http://creativecommons.org/licenses/by/4.0/deed.de.
Download
Titel
Anwendungen der FISH in der Diagnostik von Lungenkarzinomen
Verfasst von
Dr. Lena Hieggelke
Prof. Dr. Anne M. Schultheis
Publikationsdatum
23.11.2020
Verlag
Springer Vienna
Erschienen in
Wiener klinisches Magazin / Ausgabe 1/2021
Print ISSN: 1869-1757
Elektronische ISSN: 1613-7817
DOI
https://doi.org/10.1007/s00740-020-00370-0
2.
Zurück zum Zitat Castiglione R, Alidousty C, Holz B et al (2019) Comparison of the genomic background of MET-altered carcinomas of the lung: biological differences and analogies. Mod Pathol 32:627–638CrossRef
3.
Zurück zum Zitat Drilon A, Cappuzzo F, Ou S‑HI et al (2017) Targeting MET in lung cancer: Will expectations finally be MET? J Thorac Oncol 12:15–26CrossRef
4.
Zurück zum Zitat Engelman JA, Zejnullahu K, Mitsudomi T et al (2007) MET amplification leads to gefitinib resistance in lung cancer by activating ERBB3 signaling. Science 316:1039–1043CrossRef
5.
Zurück zum Zitat Gainor JF, Dardaei L, Yoda S et al (2016) Molecular mechanisms of resistance to first- and second-generation ALK inhibitors in ALK-rearranged lung cancer. Cancer Discov 6:1118–1133CrossRef
6.
Zurück zum Zitat Guyard A, Charpy C, Théou-Anton N et al (2019) Isolated 5′ signals are an atypical pattern to be considered as positive for ALK rearrangement: a brief report of three cases and review of the literature. Transl Oncol 12:784–787CrossRef
7.
Zurück zum Zitat Hechtman JF, Benayed R, Hyman DM et al (2017) Pan-Trk immunohistochemistry is an efficient and reliable screen for the detection of NTRK fusions. Am J Surg Pathol 41:1547–1551CrossRef
8.
Zurück zum Zitat Heydt C, Kostenko A, Merkelbach-Bruse S et al (2016) ALK evaluation in the world of multiplex testing: Network Genomic Medicine (NGM): the Cologne model for implementing personalised oncology. Ann Oncol. Suppl 3:iii25–iii34. https://doi.org/10.1093/annonc/mdw303. PMID:27573753CrossRef
9.
Zurück zum Zitat Heydt C, Ruesseler V, Pappesch R et al (2019) Comparison of in situ and extraction-based methods for the detection of ROS1 rearrangements in solid tumors. J Mol Diagnostics 21:971–984CrossRef
10.
Zurück zum Zitat Kawakami H, Okamoto I, Okamoto W et al (2014) Targeting MET amplification as a new oncogenic driver. Cancers 6:1540–1552CrossRef
11.
Zurück zum Zitat Kohno T, Tsuta K, Tsuchihara K et al (2013) RET fusion gene: translation to personalized lung cancer therapy. Cancer Sci 104:1396–1400CrossRef
12.
Zurück zum Zitat Kong-Beltran M, Seshagiri S, Zha J et al (2006) Somatic mutations lead to an oncogenic deletion of met in lung cancer. Cancer Res 66:283–289CrossRef
13.
Zurück zum Zitat Kwak EL, Bang YJ, Camidge DR et al (2010) Anaplastic lymphoma kinase inhibition in non-small-cell lung cancer. N Engl J Med 363:1693–1703CrossRef
14.
Zurück zum Zitat Lee SE, Lee B, Hong M et al (2015) Comprehensive analysis of RET and ROS1 rearrangement in lung adenocarcinoma. Mod Pathol 28:468–479CrossRef
15.
Zurück zum Zitat Lin JJ, Zhu VW, Yoda S et al (2018) Impact of EML4-ALK variant on resistance mechanisms and clinical outcomes in ALK-positive lung cancer. J Clin Oncol 36:1199–1206CrossRef
16.
Zurück zum Zitat Lindeman NI, Cagle PT, Aisner DL et al (2018) Updated molecular testing guideline for the selection of lung cancer patients for treatment with targeted Tyrosine kinase inhibitors: guideline from the College of American Pathologists, the International Association for the Study of Lung Cancer, and the Association for Molecular Pathology. Arch Pathol Lab Med 142:321–346CrossRef
17.
Zurück zum Zitat Marchiò C, Scaltriti M, Ladanyi M et al (2019) ESMO recommendations on the standard methods to detect NTRK fusions in daily practice and clinical research. Ann Oncol 30(9):1417–1427. https://doi.org/10.1093/annonc/mdz204. PMID:31268127CrossRefPubMed
18.
Zurück zum Zitat Overbeck TR, Cron DA, Schmitz K et al (2020) Top-level MET gene copy number gain defines a subtype of poorly differentiated pulmonary adenocarcinomas with poor prognosis. Transl Lung Cancer Res 9(3):603–616. https://doi.org/10.21037/tlcr-19-339. PMID:32676323; PMCID:PMC7354108CrossRefPubMedPubMedCentral
19.
Zurück zum Zitat Paez JG, Janne PA, Lee JC et al (2004) EGFR mutations in lung cancer: correlation with clinical response to gefitinib therapy. Science 304:1497–1500CrossRef
20.
Zurück zum Zitat Planchard D, Popat S, Kerr K et al (2018) Metastatic non-small cell lung cancer: ESMO Clinical Practice Guidelines for diagnosis, treatment and follow-up. Ann Oncol 29:iv192–iv237CrossRef
21.
Zurück zum Zitat Schildhaus H‑U, Schultheis AM, Rüschoff J et al (2015) MET amplification status in therapy-Naïve Adeno- and Squamous cell carcinomas of the lung. Clin Cancer Res 21:907–915CrossRef
22.
Zurück zum Zitat Smuk G, Pajor G, Szuhai K et al (2020) Attenuated isolated 3′ signal: a highly challenging therapy relevant ALK FISH pattern in NSCLC. Cancer Treat Res 143:80–85
23.
Zurück zum Zitat Society AC (2020) Key statistics for lung cancer/What is lung cancer? https://www.cancer.org/cancer/lung-cancer/about/key-statistics.html. Zugegriffen: 18. April 2020
24.
Zurück zum Zitat Soda M, Choi YL, Enomoto M et al (2007) Identification of the transforming EML4-ALK fusion gene in non-small-cell lung cancer. Nature 448:561–566CrossRef
25.
Zurück zum Zitat Takezawa K, Pirazzoli V, Arcila ME et al (2012) HER2 amplification: a potential mechanism of acquired resistance to EGFR inhibition in EGFR-mutant lung cancers that lack the second-site EGFR T790M mutation. Cancer Discov 2:922–933CrossRef
26.
Zurück zum Zitat Tsao MS, Hirsch FR, Yatabe Y et al (2016) IASLC Atlas of ALK and ROS1 testing in lung cancer. Editorial Rx Press, Aurora, Colorado
27.
Zurück zum Zitat Tsuta K, Kohno T, Yoshida A et al (2014) RET-rearranged non-small-cell lung carcinoma: a clinicopathological and molecular analysis. Br J Cancer 110:1571–1578CrossRef
28.
Zurück zum Zitat Wang W, Xu C, Zhu Y et al (2018) P2.03-09 the real world of NTRK fusion data in the Chinese lung cancer populations: a multicenter study. J Thorac Oncol 13:S719
29.
Zurück zum Zitat Wiesweg M, Eberhardt WEE, Reis H et al (2017) High prevalence of concomitant oncogene mutations in prospectively identified patients with ROS1-positive metastatic lung cancer. J Thorac Oncol 12:54–64CrossRef
30.
Zurück zum Zitat Wolf J, Seto T, Han J‑Y et al (2019) Capmatinib (INC280) in MET∆ex14-mutated advanced non-small cell lung cancer (NSCLC): Efficacy data from the phase II GEOMETRY mono-1 study. J Clin Oncol 37:9004–9004CrossRef