Zum Inhalt

Spontane intrazerebrale Blutungen

Akutmanagement, Diagnostik und Sekundärprävention

Erschienen in:

Zusammenfassung

Spontane intrazerebrale Blutungen sind mit einer hohen Morbidität und Mortalität verbunden. Die häufigsten Ätiologien sind zerebrale Mikroangiopathien (Arteriolosklerose, zerebrale Amyloidangiopathie), seltener makrovaskuläre und andere Ursachen. Nachdem die Behandlung intrazerebraler Blutungen über lange Jahre keine entscheidenden Fortschritte zeigte, hat sich das Verständnis nun hin zu einem akuten Notfall, der unmittelbar behandelt werden muss, gewandelt: Die Kernpunkte der Akuttherapie sind ein sogenannter „care bundle“, der eine rasche Normalisierung des Blutdrucks (auf Werte < 140 mm Hg systolisch), die Antagonisierung einer möglichen Antikoagulation sowie die zeitnahe Evaluation möglicher neurochirurgischer Optionen (Hämatomleerung, externe Ventrikeldrainage und/oder Hirndrucksonde) umfasst, wobei minimal-invasive Techniken vorzuziehen sind. Eine Behandlung auf einer Stroke Unit oder spezialisierten Intensivstation ist vorteilhaft. Im weiteren Management ist es wichtig, die zugrunde liegende Ursache einer intrazerebralen Blutung zu erkennen. Hier werden in den meisten Fällen eine CT-Angiographie sowie eine MRT des Gehirns entscheidende Hinweise liefern. Basierend auf der Ursache kann eine gezielte individualisierte Sekundärprophylaxe einleitet werden, die ein engmaschiges Blutdruckmanagement, die direkte Behandlung zugrunde liegender Ursachen (z. B. arteriovenöse Malformationen) sowie die Evaluierung der Wiedereinleitung antithrombotischer Medikamente beinhalten kann. Zahlreiche weitere Studien werden das Verständnis, das Akutmanagement und die Sekundärprophylaxe in den kommenden Jahren weiter verbessern können.
Literatur bei den Verfassern
QR-Code scannen & Beitrag online lesen

Hinweis des Verlags

Der Verlag bleibt in Hinblick auf geografische Zuordnungen und Gebietsbezeichnungen in veröffentlichten Karten und Institutsadressen neutral.

Einleitung

Spontane (nicht traumatische) intrazerebrale Blutungen (ICB) gehen trotz der im Vergleich zu ischämischen Hirninfarkten niedrigeren Prävalenz mit einer deutlich höheren Morbidität und Mortalität einher. Pathophysiologisch tritt Blut einer rupturierten Arterie oder Arteriole in das Hirnparenchym ein und schädigt dieses primär durch lokale Kompression und sekundär durch die ein perifokales Ödem induzierende Toxizität von Zytokinen und Thrombin. Im Folgenden präsentieren wir eine Zusammenfassung von Diagnostik, Akutmanagement und Sekundärprävention der spontanen ICB.

Ätiologie

Da die Ursache der ICB das Akut- sowie Langzeitmanagement beeinflusst, ist eine möglichst zeitnahe Identifikation dieser notwendig. Ätiologisch ist der Großteil der spontanen ICB auf eine mikroangiopathische Genese zurückzuführen, wobei die Blutungslokalisation diesbezüglich diagnostische Hinweise geben kann.
Rund drei Viertel der ICB werden durch zerebrale Mikroangiopathien verursacht. Die häufigste Ursache, die für 50–60 % aller ICB verantwortlich ist, ist die Arteriolosklerose (Arteriopathie der tiefen Perforatoren, früher hypertensive Mikroangiopathie genannt). Der Hauptrisikofaktor chronischer arterieller Hypertonus induziert unter anderem die Progression von Lipohyalinose, die Proliferation von Fibroblasten und die Formation von Mikroatheromen. Es wird diskutiert, dass sich durch den so entstehenden Gefäßwandschaden neben einer Stenosierung des Lumens auch Mikroaneurysmen („Charcot-Bouchard-Aneurysmen“) ausbilden können, welche rupturieren und somit zu ICB führen können.
Rund drei Viertel der ICB werden durch zerebrale Mikroangiopathien verursacht
ICB bei Arteriolosklerose sind typischerweise subkortikal (in den Basalganglien, dem Thalamus, im Hirnstamm oder auch zerebellär) lokalisiert, lobäre ICB treten bei dieser Ursache aber ebenfalls häufig auf. Rund 20 % aller ICB und etwa die Hälfte aller lobären ICB werden durch eine zerebrale Amyloidangiopathie (CAA) verursacht, welche insbesondere bei Menschen im höheren Lebensalter (beginnend > 50 Jahre, deutlich gehäuft > 70 Jahre) auftritt. Neben intrazerebralen Blutungen kann die CAA auch zu kognitiven Defiziten führen und konvexale Subarachnoidalblutungen verursachen, die sich typischerweise klinisch mit transienten fokal-neurologischen Episoden äußern, eine transiente, meist vielfach synonym auftretende und wandernde Symptomatik, die manchmal als fokal-epileptische Anfälle oder transitorische ischämische Attacken verkannt werden. Pathophysiologisch lagert sich bei der CAA β‑Amyloid progredient an die Gefäßwände der kortikalen und leptomeningealen Gefäße an. Die Genese ist meist sporadisch, atypische Varianten (hereditäre CAA, CAA-assoziierte Inflammation, iatrogene CAA) sind eher selten.
Insbesondere bei jüngeren Patient:innen und atypischer Blutungslokalisation ist auch an klassische sekundäre Blutungsursachen wie makrovaskuläre Ursachen zu denken (z. B. arteriovenöse Malformationen), aber auch Einblutungen von Tumoren (am häufigsten Kavernome), Stauungsblutungen bei Sinusvenenthrombosen, Störungen des Gerinnungssystems und Vaskulitiden gehören zu wichtigen Differenzialdiagnosen mit direkter therapeutischer Konsequenz.

Frühe Diagnostik und Bildgebung

Die Diagnose im Akutstadium erfolgt mittels zerebraler Bildgebung, im klinischen Alltag meist via Computertomographie (CT), wobei die Magnetresonanztomographie (MRT) in der Sensitivität nicht unterlegen ist. Bei nicht unmittelbar klarer Ursache sollte zeitnah (idealerweise unmittelbar) eine CT- oder MR-Angiographie durchgeführt werden, die makrovaskuläre Ursachen meist unmittelbar nachweisen kann. Dies ist bei jüngeren Patient:innen und atypischer Blutungslokalisation besonders relevant.
Die Bildgebung im Akutsetting kann auch Hinweise hinsichtlich des Risikos einer Hämatomexpansion geben, die ein starker Prädiktor für schlechte Ergebnisse ist. Der am besten untersuchte bildgebende Hinweis hierfür ist das sogenannte „spot sign“, welches in der CT-Angiographie ein Kontrastmittelextravat innerhalb der ICB darstellt. Auch bildgebende Charakteristika im Nativ-CT können hilfreich sein: Insbesondere eine heterogene Darstellung der ICB ist hierbei ein Risikofaktor für eine Hämatomprogression („blend sign“, „black hole sign“, „island sign“).

Akutmanagement

Im Akutsetting gilt es als primäres Ziel, die Hämatomprogression zu verhindern, zu der es bei etwa 20–40 % der Patient:innen kommt. In der klinischen Praxis hat sich die Anwendung des „ABC bundle of care“, welches Gerinnungsmanagement, Blutdrucksenkung und neurochirurgische Interventionen inkludiert, bewährt. Nach der Akutversorgung sollte die weitere Behandlung auf einer Stroke Unit oder spezialisierten Intensivstation erfolgen.

Gerinnungsmanagement

Das Auftreten einer ICB ist bei Patient:innen mit gerinnungsaktiver Medikation im Vergleich zur Durchschnittsbevölkerung grundsätzlich erhöht, wobei Vitamin-K-Antagonisten ein höheres Hirnblutungsrisiko als die direkten oralen Antikoagulanzien (DOAK) aufweisen. Bei Patient:innen mit ICB unter Antikoagulation ist jedenfalls die möglichst rasche Antagonisierung der Antikoagulation indiziert.
Patient:innen unter wirksamer Antikoagulation mit Vitamin-K-Antagonisten (INR > 1,3) sollten umgehend mit Prothrombinkomplex-Konzentraten (PPSB) und Vitamin K behandelt werden. Bei Antikoagulation mit Faktor-Xa-Inhibitoren (Apixaban, Edoxaban, Rivaroxaban) ist die Nutzung von PPSB (in einer Dosis von 50 IE/kgKG) ebenfalls etabliert, um eine rasche Hämostase zu unterstützen.
„ABC bundle of care“: Gerinnungsmanagement, Blutdrucksenkung und neurochirurgische Interventionen
Seit wenigen Jahren steht nun auch ein direktes Antidot, Andexanet alfa, zur Verfügung. Hierbei zeigte die rezente ANNEXA-I-Studie zwar eine Reduktion von Hämotomprogression bei Therapie mit Andexanet alfa, aber gleichzeitig eine Erhöhung thrombotischer, insbesondere arterieller Ereignisse (ischämische Schlaganfälle, Myokardinfarkte). Das funktionelle Ergebnis oder die Mortalität wurde von Andexanet alfa in dieser Studie nicht positiv beeinflusst. Damit bleibt die Selektion von Patient:innen weitestgehend unklar, wobei postuliert werden kann, dass Patient:innen mit einem hohen Risiko einer Hämatomprogression und einem geringen Thromboembolierisiko von einer Antagonisierung mit Andexanet alfa profitieren könnten, wobei im umgekehrten Fall eher PPSB eingesetzt werden sollten. Bei Patient:innen, die mit Dabigatran antikoaguliert worden sind, sollte das substanzspezifische Antidot Idarucizumab verabreicht werden.
Bei ICB unter Thrombozytenfunktionshemmern wird die Gabe von Thrombozytenkonzentraten nicht empfohlen, in der multizentrischen PATCH-Studie zeigte sich im Gegensatz eine erhöhte Morbidität und Mortalität nach Verabreichung von Thrombozytenkonzentraten im Vergleich zur Kontrollgruppe.
Nach Gabe von Faktor-VIIa-Konzentraten zeigte sich in der FAST-Studie zwar eine Reduktion der Blutungsprogression, jedoch kein Vorteil hinsichtlich Mortalität und funktionellem Ergebnis bei insgesamt mehr thromboembolischen Komplikationen. Die Gabe wird dementsprechend nach aktuellem Stand nicht in der Routine empfohlen. Ebenfalls konnte in einer Reihe großer Studien (u. a. TICH-2) kein Benefit durch die Gabe von Tranexamsäure gezeigt werden.

Blutdruckmanagement

In den bisherigen klinischen Studien zeigten sich Vorteile der Blutdrucksenkung in der Akutphase auf einen systolischen Blutdruck < 140 mm Hg gegenüber < 180 mm Hg vor allem im Hinblick auf eine Reduktion der Hämatomprogression. In aktuellen Studien (INTERACT‑3, INTERACT-4-Subgruppe ICH) konnte auch ein verbessertes klinisches Ergebnis mit früher Blutdrucksenkung gezeigt werden.
Laut aktuellen ESO-Guidlines gilt die Blutdrucksenkung auf < 140 mm Hg demnach als sicher und wird in der klinischen Praxis als Ziel in der Akutphase angestrebt. Generell sollte ein Blutdruckziel von 130–140 mm Hg systolisch möglichst rasch erreicht werden. Im weiteren Verlauf sollten Blutdruckschwankungen möglichst vermieden werden. Bei Patient:innen mit einem initialen Blutdruck > 220 mm Hg könnte eine zu rapide Blutdrucksenkung zu gehäuften (in erster Linie renalen) Nebenwirkungen führen, weshalb in dieser Gruppe tendenziell eine etwas mildere Blutdrucksenkung empfohlen wird.
Eine klare Wirkstoffempfehlung hinsichtlich der antihypertensiven Therapie gibt es bisher nicht. Im klinischen Alltag werden in Zentraleuropa meist Kombinationen von Präparaten verwendet, wobei Urapidil am häufigsten als erste Therapielinie verwendet wird. Clevidipin, ein kurzwirksamer Kalziumantagonist, welcher via Perfusor verabreicht wird, könnte eine exzellente Ergänzung darstellen.

Neurochirurgische Intervention

Hinsichtlich neurochirurgischer Eingriffe bei ICB gab es lange keine allgemeinen Empfehlungen, da frühere Studien größtenteils neutrale Ergebnisse zeigten. Subgruppenanalysen zeigten, dass mittelschwer betroffene Patient:innen mit oberflächennahen Blutungen von einer Hämatomentleerung profitieren könnten. Eine rezente Studie (ENRICH-AF) zeigte ein verbessertes Ergebnis bei Patient:innen mit ICB, die mit einem minimal-invasiven endoskopischen Eingriff entleert wurden, – insbesondere Patient:innen mit einer lobären ICB. Eine adäquate Selektion von Patient:innen ist entscheidend, um jene zu identifizieren, welche durch neurochirurgische Operationen profitieren – der Trend zeigt aber eindeutig zu mehr, früheren und minimal-invasiven neurochirurgischen Eingriffen.
Die Anlage einer externen Ventrikeldrainage (EVD) ist insbesondere bei Patient:innen mit Hämatozephalus in Betracht zu ziehen und inzidiert, wenn es zu einem obstruktiven Hydrozephalus kommt. Bei primär intraventrikulären Blutungen führte die Verabreichung von intraventrikulärer Thrombolyse via EVD zu einer Verbesserung der Mortalität, nicht aber eindeutig des funktionellen Ergebnisses (CLEAR III). Eine rezente Studie, bei der eine Hemikraniektomie bei großen subkortikalen ICB durchgeführt wurde, zeigte ebenfalls eine Verbesserung von Mortalität, aber Überleben mit hohen Raten schwerer Beeinträchtigungen (SWITCH).
Raumfordernde Kleinhirnblutungen sollten im Routinefall ebenfalls entleert werden, auch wenn hierzu keine klare Evidenz aus randomisierten Studien besteht. Ebenfalls gilt die Anlage einer Hirndrucksonde bei intubierten und analgosedierten Patient:innen mit ICB meist als klinische Routine, um die Hirndrucktherapie entsprechend steuern zu können.

Abklärung und Sekundärprävention

In der stabilen Phase der Akuterkrankung sollte – analog zum ischämischen Schlaganfall – die ätiologische Abklärung der ICB fortgeführt werden, um eine gezielte Behandlung und Sekundärprophylaxe zu ermöglichen.
Um die zugrunde liegende Ursache zu klären, ist in den meisten Fällen die Durchführung einer MRT des Gehirns äußerst hilfreich, da Veränderungen im Zuge zerebraler Mikroangiopathien verlässlich mittels MRT dargestellt werden können.
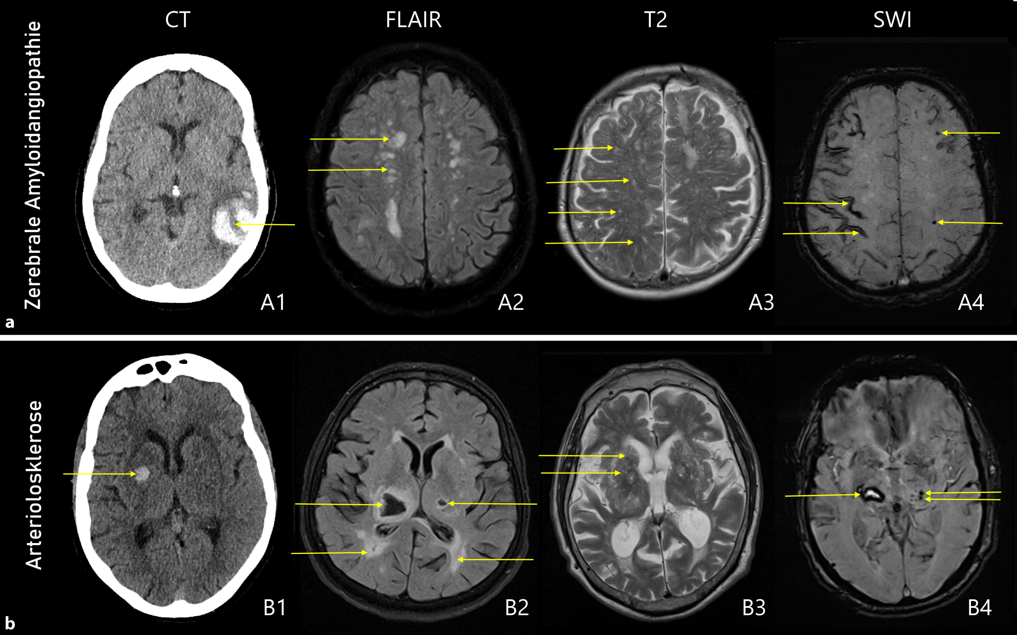
Bei der Arteriolosklerose (Arteriopathie der tiefen Perforationen, „hypertensive“ Mikroangiopathie) zeigen sich in der MRT typische Veränderungen dieser Erkrankung: Marklagerhyperintensitäten („white matter hyperintensities“), Lakunen, subkortikale Mikroblutungen und erweiterte perivaskuläre Räume in den Basalganglien (siehe Abb. 1a). Bei Fortschreiten der Arteriolosklerose treten häufig auch lobäre Mikroblutungen und teils auch lobäre ICB auf, weshalb die Arteriolosklerose auch eine der wichtigsten Differenzialdiagnosen bei lobären ICB darstellt.
Abb. 1
Typische bildgebende Zeichen bei zerebraler Amyloidangiopathie: Lobäre ICB mit „finger-like projections“ (A1), Marklagerhyperintensitäten in einem „multispot pattern“ (A2), erweiterte perivaskuläre Räume im Centrum semiovale (A3), kortikale superfizielle Siderose und lobäre Mikroblutungen (A4). Arteriolosklerose: Tiefe ICB (B1), tiefe Lakunen und Marklagerhyperintensitäten (B2), erweiterte perivaskuläre Räume in den Basalganglien (B3), tiefe Mikroblutungen neben einer Thalamusblutung (B4). © S. Fandler-Höfler
Bild vergrößern
Gezielte Behandlung und Sekundärprophylaxe
Bei Patient:innen mit CAA finden sich neben lobären ICB typischerweise lobäre Mikroblutungen, eine kortikale superfizielle Siderose oder sulkale Subarachnoidalblutungen (siehe Abb. 1b). Für die bildgebende Diagnose ist die aktuell überarbeitete Version der Boston-Kriterien hilfreich, welche für eine Diagnose einer „wahrscheinlichen CAA“ zwei hämorrhagische lobäre Veränderungen (siehe oben) oder eine hämorrhagische Veränderung plus ein „white matter feature“ (deutlich erweiterte perivaskuläre Räume im Centrum semiovale oder eine sogenannte „white matter hyperintensity“ „multispot pattern“) vorsehen. Ein Alter < 50 Jahren schließt die Diagnosestellung einer (sporadischen) CAA aus, ebenfalls schließen die Boston-Kriterien alle Patient:innen mit „tiefen“ (subkortikalen) hämorrhagischen Veränderungen (ICB, Mikroblutungen) von der Diagnose einer CAA aus.
Falls keine Ursache einer ICB in der initialen Abklärung festgestellt werden kann, sollten je nach Patient:innenprofil weitere Untersuchungen durchgeführt werden. Dies inkludiert sowohl eine digitale Subtraktionsangiographie (idealerweise nach Blutungsresorption) zum sicheren Ausschluss oder Nachweis makrovaskulärer Ursachen als auch eine MRT des Gehirns im Intervall, um zugrunde liegende Raumforderungen (wie Kavernome) potenziell darstellen sowie eine mögliche Progression einer Mikroangiopathie zeigen zu können. Gerade bei infratentorieller (und geringer lobärer) Blutungslokalisation ist das Risiko zugrunde liegender makrovaskulärer Ursachen erhöht, ebenfalls bei fehlendem Vorliegen einer zerebralen Mikroangiopathie. Für die Indikationsstellung einer digitalen Subtraktionsangiographie können auch Risikoscores (CT-basierter DIAGRAM-Score, MRT-basierter MACRO-Score) hilfreich sein.
Das Rezidivrisiko intrazerebraler Blutungen ist bei CAA deutlich erhöht, insbesondere bei CAA mit Nachweis einer superfiziellen Siderose. Patient:innen mit kombinierten lobären und tiefen hämorrhagischen Markern („gemischte Mikroangiopathie“) haben ein moderates Rezidivrisiko. Patient:innen mit einer rein subkortikalen Arteriolosklerose haben ein eher geringes Rezidivrisiko. Das Risiko ischämischer Ereignisse ist allerdings bei Patient:innen mit ICB deutlich erhöht, weshalb sich therapeutische Entscheidungen nicht immer als einfach erweisen. Die Nutzung von Thrombozytenaggregationshemmern scheint in der Regel sicher zu sein (RESTART-Studie) und ist daher bei klarer Indikation im Regelfall nach stattgefundener ICB möglich.
Komplexer ist die Frage einer oralen Antikoagulation (z. B. bei gleichzeitig bestehender Vorhofflimmerarrhythmie). Hier sollte eine individuelle Nutzen-Risiko-Abwägung durchgeführt werden, in der je nach individuellem Profil die Entscheidung zur Einleitung eines DOAK, der Verzicht auf eine solche oder die Evaluation eines interventionellen Vorhofohrverschlusses getroffen werden kann.
Blutdruckziele < 130/80 sollten angestrebt werden
Generell sollte auf ein intensives Risikofaktorenmanagement, insbesondere hinsichtlich des Blutdruckmanagements, langfristig fokussiert werden. Blutdruckziele < 130/80 sollten angestrebt werden, < 120/70 wäre vermutlich noch vorteilhafter (insbesondere bei zugrunde liegender Arteriolosklerose).
Langfristige rehabilitative Maßnahmen nach ICB sind wichtig, insbesondere da sich der funktionelle Zustand von Patient:innen auch noch über längere Zeit deutlich verbessern kann. Nichtmotorische Schlaganfallfolgen (u. a. kognitive Störungen, Schmerzen, Depression, Angsterkrankungen, Fatigue) sind häufig und sollten in der Langzeitbetreuung von Patient:innen nach ICB jedenfalls evaluiert, beachtet und behandelt werden.

Fazit für die Praxis

  • Akuttherapie der intrazerebralen Blutung: „ABC“ – a) Antagonisierung einer bestehenden Antikoagulation, b) rasche Blutdruckkontrolle (Ziel < 140 mm Hg), c) Evaluation (neuro-)chirurgischer Eingriffe.
  • Zeitnahe Evaluation der Ätiologie (CT-Angiographie, weiterführende Abklärung je nach Befundkonstellation).
  • Langfristiges Management individualisiert auf die zugrunde liegende Ursache.
  • Hierfür ist häufig eine MRT für das Assessment zerebraler Mikroangiopathien hilfreich.
  • Engmaschiges Blutdruckmanagement insbesondere bei zugrunde liegender Arteriolosklerose (häufigste Ursache von intrazerebralen Blutungen).
  • Wiedereinleitung von Thrombozytenaggregationshemmern (bei klarer Indikation) in der Regel möglich, orale Antikoagulation nach Nutzen-Risiko-Assessment (Risiko thromboembolischer Ereignisse, Risiko erneuter intrazerebraler Blutungen).

Einhaltung ethischer Richtlinien

Interessenkonflikt

L. Fabisch und S. Fandler-Höfler geben an, dass kein Interessenkonflikt besteht.
Für diesen Beitrag wurden von den Autor/-innen keine Studien an Menschen oder Tieren durchgeführt. Für die aufgeführten Studien gelten die jeweils dort angegebenen ethischen Richtlinien.
Open Access Dieser Artikel wird unter der Creative Commons Namensnennung 4.0 International Lizenz veröffentlicht, welche die Nutzung, Vervielfältigung, Bearbeitung, Verbreitung und Wiedergabe in jeglichem Medium und Format erlaubt, sofern Sie den/die ursprünglichen Autor(en) und die Quelle ordnungsgemäß nennen, einen Link zur Creative Commons Lizenz beifügen und angeben, ob Änderungen vorgenommen wurden.
Die in diesem Artikel enthaltenen Bilder und sonstiges Drittmaterial unterliegen ebenfalls der genannten Creative Commons Lizenz, sofern sich aus der Abbildungslegende nichts anderes ergibt. Sofern das betreffende Material nicht unter der genannten Creative Commons Lizenz steht und die betreffende Handlung nicht nach gesetzlichen Vorschriften erlaubt ist, ist für die oben aufgeführten Weiterverwendungen des Materials die Einwilligung des jeweiligen Rechteinhabers einzuholen.
Weitere Details zur Lizenz entnehmen Sie bitte der Lizenzinformation auf http://creativecommons.org/licenses/by/4.0/deed.de.

Hinweis des Verlags

Der Verlag bleibt in Hinblick auf geografische Zuordnungen und Gebietsbezeichnungen in veröffentlichten Karten und Institutsadressen neutral.
download
DOWNLOAD
print
DRUCKEN
Titel
Spontane intrazerebrale Blutungen
Akutmanagement, Diagnostik und Sekundärprävention
Verfasst von
Dr. Linda Fabisch
PD DDr. Simon Fandler-Höfler
Publikationsdatum
20.12.2024
Verlag
Springer Vienna
Erschienen in
psychopraxis. neuropraxis / Ausgabe 1/2025
Print ISSN: 2197-9707
Elektronische ISSN: 2197-9715
DOI
https://doi.org/10.1007/s00739-024-01060-w
Bildnachweise
Amyloidangiopathie/© S. Fandler-Höfler