Zum Inhalt

A short review on the current status of PSMA ligands used for PSMA-PET/CT imaging

  • Open Access
  • 07.05.2025
  • short review
Erschienen in:

Summary

In recent years, prostate-specific membrane antigen (PSMA)-targeted positron emission tomography/computed tomography (PET/CT) imaging has had substantial impact on the management of prostate cancer (PCa) patients. PSMA is both an ideal target for diagnostic and therapeutic applications in men with PCa. PSMA-ligand PET/CT imaging has become a reference imaging tool for the detection and localization of recurrent disease in patients with biochemical failure after curative treatment, as well as detecting metastases in advanced stages of PCa, but has also gained importance in the primary diagnosis and staging of PCa. The aim of this short review is to reflect the latest developments in the use of PSMA-PET/CT imaging as well as outline possible challenges and limitations of this new molecular imaging modality.

Publisher’s Note

Springer Nature remains neutral with regard to jurisdictional claims in published maps and institutional affiliations.

Introduction

More than a decade ago, the introduction of PSMA-targeted prostate-specific membrane antigen (PSMA) ligands has revolutionized the imaging and treatment of prostate cancer (PCa) (Fig.  1). PCa is known as the most common cancer in men in western countries, making it the second leading cause of cancer-associated mortality in men [1]. Both in the setting of biochemical recurrence, as well as in primary and advanced stages of PCa, PSMA-targeted positron emission tomography/computed tomography (PET/CT) imaging has become increasingly popular for detecting even small metastases due to its superior sensitivity and specificity compared to conventional imaging techniques [2]. The introduction of 68Ga- and 18F‑labeled PSMA ligands has significantly improved diagnostic performance for disease staging and management in patients with PCa. This short review focuses on the recent advances in the use of different PSMA radiotracers for PET imaging and depicts possible challenges, pitfalls, and emerging clinical applications.

PSMA: basics in biology

Prostate-specific membrane antigen (PSMA), known as glutamate carboxypeptidase II, is a type II transmembrane protein consisting of 750 amino acids [3]. PSMA is significantly overexpressed in malignant prostate tissue, and is only weakly expressed in normal prostate tissue. Previous studies proved a strong correlation between PSMA expression and a higher Gleason score [4]. Moreover, PSMA is also overexpressed in the neovasculature and the newly formed vessels in a variety of solid tumors (e.g., renal cancer, breast cancer, colon cancer), as well as in the astrocytes of the central nervous system [5]. PSMA has gained interest as an important target for PET imaging. In the recent years, various small-molecule radiopharmaceuticals (PSMA inhibitors) have been developed, with a high affinity to the active substrate recognition site of the extracellular part of PSMA [5]. The protein possesses enzymatic activity and is considered to have a role in the folate uptake (FOLH1 gene); however, its function still remains unclear.

Indications for PSMA-ligand PET/CT

Due to the excellent diagnostic performance of PSMA-targeted PET/CT compared to other methods of imaging PCa, PSMA-targeted PET imaging has been shown to significantly improve the detection of metastatic sites, even at low serum PSA levels. At present, the indications for PSMA-ligand PET/CT include the initial staging of PCa in patients with risk features such as elevated serum PSMA values > 20 ng/ml or a higher International Society of Urological Pathology grade group (grade 3 or higher) [6]. Furthermore, in the setting of biochemical recurrent disease (BCR), which is defined as an increase in serum PSA values ≥ 0.2 ng/mL after primary curative treatment, even small recurrent PCa lesions (e.g., pelvic lymph nodes or local recurrence) can be visualized with PSMA-ligand PET/CT. Also, in advanced PCa patients, PSMA-ligand PET/CT plays a significant role for assessing eligibility for a 177Lu-PSMA radioligand therapy.

PSMA-targeted radiotracers

To the best of our knowledge, at present, 68Ga-PSMA-HBED-CC (known as 68Ga-PSMA-11) is the most common used tracer in PSMA-targeted PET imaging worldwide [7]. Nevertheless, throughout recent years, 18F‑labeled PSMA-targeted PET ligands have gained increasing interest and would offer advantages with regard to their production amount, image resolution, and physical characteristics ([8]; Table 1). In 2008, 18F‑DCFBC was first introduced at the Johns Hopkins University [9] as the first generation of a PSMA-targeted ligand in PET imaging. In 2011, the second-generation radiotracer 18F‑DCFPyL was introduced: compared to the first-generation radiotracer, 18F‑DCFPyL showed five times higher affinity for PSMA, resulting in higher tumor-to-background ratios as well as improved biodistribution characteristics with a higher renal excretion rate [10]. More recently, another 18F‑labeled PSMA ligand, 18F‑PSMA-1007, has been introduced, demonstrating promising results with a primary hepatobiliary clearance. The nonurinary excretion of 18F‑PSMA-1007 might be advantageous for the detection of local recurrence in the prostate bed or pelvic lymph node metastases [11]. In 2023, 18F‑flotufolastat (18F‑rhPSMA‑7.3) was introduced and approved by the US Food and Drug Administration (FDA) for use in prostate cancer staging. A recent study by Rauscher et. al. demonstrated that a patient cohort that underwent 68Ga-PSMA-11-PET were significantly more impacted by bladder activity compared to the cohort that underwent 18F‑flotufolastat-PET [12]. Another PSMA-tracer in clinical use with regulatory approval is 99mTc-PSMA-I&S, which can potentially be used in an outpatient setting for SPECT imaging and was initially developed for radioguided surgery [13, 14]. 99mTc-PSMA-RGS has been proved to be of great value in patients with recurrent PCa to successfully identify and remove metastatic lesions [1315].
Table 1
Prostate-specific membrane antigen (PSMA)-targeted radiopharmaceuticals in current clinical use
PSMA ligands with regulatory approval
Brand name
Commercial distributor
68Ga-PSMA-11
Locametz® (Gallium-(68Ga‑)Gozetotid)
Novartis Europharm Limited, Dublin, Ireland
Illuccix®
Telix Pharmaceuticals Ltd., Melbourne, Australia
68Ga-PSMA I&T
PSMA I&T (TFA salt)
Scintomics Molecular, Applied Theranostics Technologies GmbH, Fürstenfeldbruck, Germany
18F‑DCFPyL (Piflufolastat (18F))
Pylclari®
Curium Pharma, Paris, France
Pylarify®
Progenics Pharmaceuticals, Inc., a Lantheus company, North Billerica, MA, USA
18F‑PSMA-1007
Posluma® (Flotufolastat F 18)
Blue Earth Diagnostics, Inc., Princeton, NJ, USA
99mTc-PSMA-I&S
PSMA I&S
Scintomics Molecular, Applied Theranostics Technologies GmbH, Fürstenfeldbruck, Germany
99mTc-PSMA-I&S
DSD Pharma GmbH, Pukersdorf, Austria

64Cu-PSMA ligands

Compared to the short-lived isotopes 18F and 68Ga, another PSMA-targeted radiopharmaceutical with a significantly longer half-life of 12.7 h, 64Cu-targeted PSMA, with an improved diagnostic and therapeutic potential, should be named. Due to its longer half-life and attractive physical characteristics for imaging, PET scans can be performed in facilities that are distant from cyclotron production, and thus scheduling may become easier [16]. Also, 64Cu also emits positrons of lower energy, comparable to 18F isotopes, and thus provides a higher image resolution compared to 68Ga isotopes [17]. 64Cu is itself a theranostic agent, and forms a theranostic pair with 67 Cu, a β and γ emitter, enabling both imaging and radiotherapy for PCa [18]. Moreover, the shorter half-life of 67Cu (T1/2 = 2.58 days) compared to 177 Lu (T1/2 = 6.7 days) shortens radiotherapy, while still remaining effective [19].

Challenges and pitfalls

PSMA-targeted PET imaging has significantly improved the management of PCa patients. However, PSMA-positive findings and abnormalities in PCa staging can only be interpreted correctly if one is aware of the normal biodistribution pattern, and the various benign and malignant nonprostatic conditions with significant PSMA-radiotracer uptake, as these can easily be misinterpreted as false-positive imaging findings associated with PCa. In this short review, we mainly focus on the interpretative pitfalls which can be found in PSMA-targeted imaging with 68Ga- and 18F‑labeled radioligands, as these PSMA-targeted PET tracers represent the two most common subgroups of PSMA-targeted radiopharmaceuticals. One of the most important pitfalls in PSMA-targeted PET imaging has been proven to be of benign origin, such as sympathetic chain ganglia [7], that are often misinterpreted as nonregional lymph node metastases. Other frequently observed pitfalls in PSMA-targeted PET imaging include PSMA-positive bone lesions, which can be misinterpreted as osseous metastases, as bone is the most common site in distant metastatic lesions in PCa patients. Accordingly, many benign bone lesions such as fibrous dysplasia, healing bone fractures, degenerative bone changes or Paget’s bone disease may show significantly increased radiotracer uptake due to reparative and remodeling processes and can mimic PCa bone metastases, especially in imaging with 18F‑labeled radiopharmaceuticals [20]. Increased PSMA-uptake has also been reported in noninfectious granulomatous diseases as sarcoidosis, which can mimic distant lymph node metastases. Many studies focused on the effect of prior androgen deprivation therapy (ADT) on PSMA expression and lesion detection, suggesting that the inhibition of the androgen receptor may result in an increase of PSMA expression in metastatic lesions [21].
In recent years, a variety of malignant nonprostate conditions, particularly solid tumors, have shown significant PSMA-radiotracer uptake due to PSMA expression in the tumor neovasculature, such as renal cell carcinoma [22], breast cancer [23], or lung cancer [24].

Conclusions

In this short review, the use of various new prostate-specific membrane antigen (PSMA)-targeted tracers in prostate cancer (PCa) molecular imaging has been discussed. PSMA-targeted molecular imaging has significantly improved the imaging and hence the management of PCa patients due to its specificity and membrane localization on tumor cells. However, one must be aware of the physiological distribution pattern, biokinetics, and possible interpretative pitfalls that are associated with the different radiotracers, which can mainly be subgrouped into 68Ga- and 18F‑labeled radioligands. In recent years, new potential applications for PSMA-targeted imaging and therapies have emerged, as PSMA expression has been observed in various non-prostatic solid tumors, often associated with the tumor neovasculature. For this purpose, larger clinical trials are needed to further evaluate the application and limitation of this molecular imaging modality.
Take home message
Prostate-specific membrane antigen (PSMA)-targeted positron emission tomography/computed tomography (PET/CT) imaging has emerged as a powerful tool in prostate cancer (PCa) management. In this short review, the most important developments of recent years regarding the different PSMA radiotracers for PET imaging are depicted. Among the various PSMA radiotracers that have been introduced throughout recent years, this short review mainly focuses on 18F‑labeled and 68Ga-labeled PSMA ligands for PET/CT imaging.
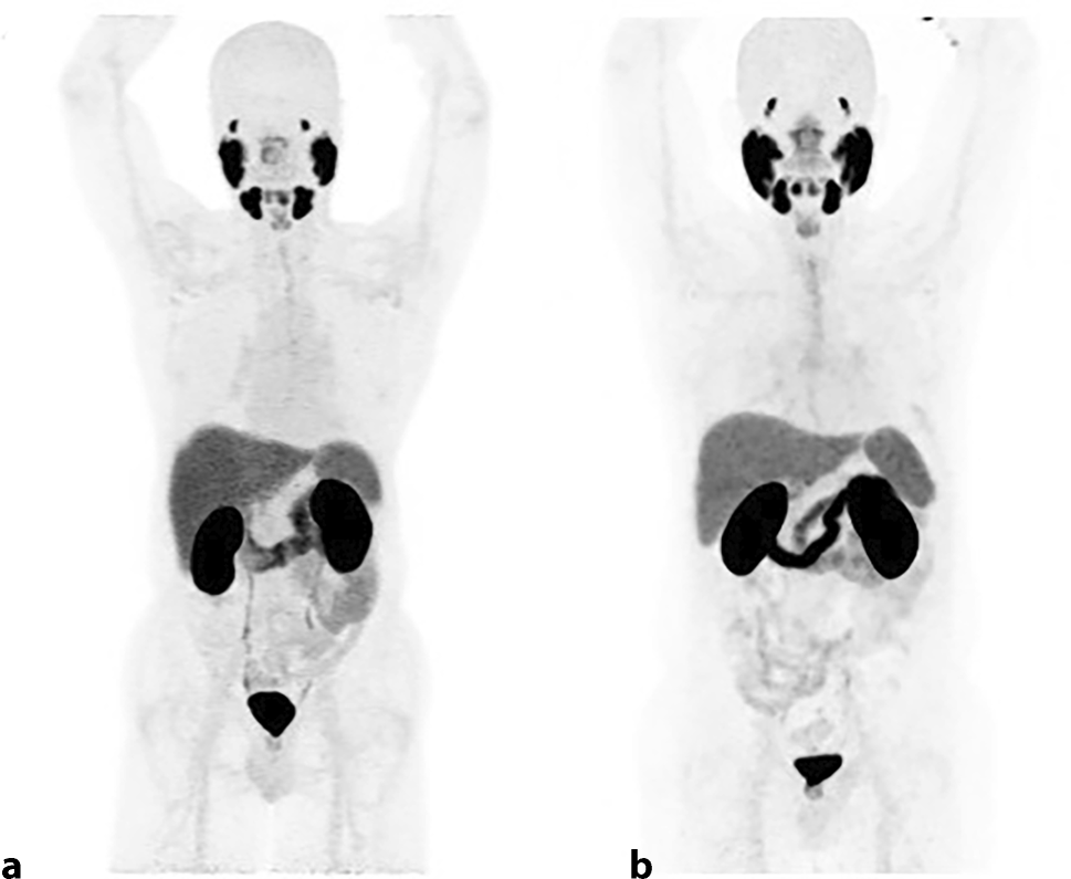
Fig. 1
Physiological biodistribution on maximum intensity projection (MIP) images of both prostate-specific membrane antigen (PSMA)-targeted positron emission tomography (PET) scans with (a18F‑DCFPyL and (b68Ga-PSMA-11
Bild vergrößern

Conflict of interest

L. Schweiger and I. Virgolini declare that they have no competing interests.
Open Access This article is licensed under a Creative Commons Attribution 4.0 International License, which permits use, sharing, adaptation, distribution and reproduction in any medium or format, as long as you give appropriate credit to the original author(s) and the source, provide a link to the Creative Commons licence, and indicate if changes were made. The images or other third party material in this article are included in the article's Creative Commons licence, unless indicated otherwise in a credit line to the material. If material is not included in the article's Creative Commons licence and your intended use is not permitted by statutory regulation or exceeds the permitted use, you will need to obtain permission directly from the copyright holder. To view a copy of this licence, visit http://creativecommons.org/licenses/by/4.0/.

Publisher’s Note

Springer Nature remains neutral with regard to jurisdictional claims in published maps and institutional affiliations.
download
DOWNLOAD
print
DRUCKEN
Titel
A short review on the current status of PSMA ligands used for PSMA-PET/CT imaging
Verfasst von
Dr. med. Lilit Schweiger
Irene Virgolini
Publikationsdatum
07.05.2025
Verlag
Springer Vienna
Erschienen in
memo - Magazine of European Medical Oncology / Ausgabe 3/2025
Print ISSN: 1865-5041
Elektronische ISSN: 1865-5076
DOI
https://doi.org/10.1007/s12254-025-01043-6
1.
Zurück zum Zitat Ferlay J, Colombet M, Soerjomataram I, et al. Cancer statistics for the year 2020: An overview. Int J Cancer. 2021;.
2.
Zurück zum Zitat Hofman MS, Hicks RJ, Maurer T, Eiber M. Prostate-specific Membrane Antigen PET: Clinical Utility in Prostate Cancer, Normal Patterns, Pearls, and Pitfalls. Radiographics. 2018;38:200–17.CrossRefPubMed
3.
Zurück zum Zitat Combes AD, Palma CA, Calopedos R, et al. PSMA PET-CT in the Diagnosis and Staging of Prostate Cancer. Diagnostics (basel). 2022;12.
4.
Zurück zum Zitat Marchal C, Redondo M, Padilla M, et al. Expression of prostate specific membrane antigen (PSMA) in prostatic adenocarcinoma and prostatic intraepithelial neoplasia. Histol Histopathol. 2004;19:715–8.PubMed
5.
Zurück zum Zitat Maurer T, Eiber M, Schwaiger M, Gschwend JE. Current use of PSMA-PET in prostate cancer management. Nat Rev Urol. 2016;13:226–35.CrossRefPubMed
6.
Zurück zum Zitat Fendler WP, Eiber M, Beheshti M, et al. PSMA PET/CT: joint EANM procedure guideline/SNMMI procedure standard for prostate cancer imaging 2.0. Eur J Nucl Med Mol Imaging. 2023;50:1466–86.CrossRefPubMedPubMedCentral
7.
Zurück zum Zitat Sheikhbahaei S, Werner RA, Solnes LB, et al. Prostate-Specific Membrane Antigen (PSMA)-Targeted PET Imaging of Prostate Cancer: An Update on Important Pitfalls. Semin Nucl Med. 2019;49:255–70.CrossRefPubMed
8.
Zurück zum Zitat Sanchez-Crespo A. Comparison of Gallium-68 and Fluorine-18 imaging characteristics in positron emission tomography. Appl Radiat Isot. 2013;76:55–62.CrossRefPubMed
9.
Zurück zum Zitat Mease RC, Dusich CL, Foss CA, et al. N‑[N-[(S)-1,3-Dicarboxypropyl]carbamoyl]-4-[18F]fluorobenzyl-L-cysteine, [18F]DCFBC: a new imaging probe for prostate cancer. Clin. Cancer Res. 2008;14:3036–43.
10.
Zurück zum Zitat Szabo Z, Mena E, Rowe SP, et al. Initial Evaluation of [(18)F]DCFPyL for Prostate-Specific Membrane Antigen (PSMA)-Targeted PET Imaging of Prostate Cancer. Mol Imaging Biol. 2015;17:565–74.CrossRefPubMedPubMedCentral
11.
Zurück zum Zitat Giesel FL, Will L, Lawal I, et al. Intraindividual Comparison of (18)F-PSMA-1007 and (18)F-DCFPyL PET/CT in the Prospective Evaluation of Patients with Newly Diagnosed Prostate Carcinoma: A Pilot Study. J Nucl Med. 2018;59:1076–80.CrossRefPubMed
12.
Zurück zum Zitat Rauscher I, Langbein, T., Elshenawy KH, S. , D’Alessandria C, Fütterer CW, W. A. EIber, M. Evaluation of qualitative and quantitative PET parameters in primary prostate cancer patients: double-match comparison of 18F-flotufolastat- and 68Ga-PSMA-11-PET. J Nucl Med. 2024;65.
13.
Zurück zum Zitat Robu S, Schottelius M, Eiber M, et al. Preclinical Evaluation and First Patient Application of 99mTc-PSMA-I&S for SPECT Imaging and Radioguided Surgery in Prostate Cancer. J Nucl Med. 2017;58:235–42.CrossRefPubMed
14.
Zurück zum Zitat Maurer T, Robu S, Schottelius M, et al. (99m)Technetium-based Prostate-specific Membrane Antigen-radioguided Surgery in Recurrent Prostate Cancer. Eur Urol. 2019;75:659–66.CrossRefPubMed
15.
Zurück zum Zitat Gandaglia G, Mazzone E, Stabile A, et al. Prostate-specific membrane antigen Radioguided Surgery to Detect Nodal Metastases in Primary Prostate Cancer Patients Undergoing Robot-assisted Radical Prostatectomy and Extended Pelvic Lymph Node Dissection: Results of a Planned Interim Analysis of a Prospective Phase 2 Study. Eur Urol. 2022;82:411–8.CrossRefPubMed
16.
Zurück zum Zitat Liu H, Zhang X, Zhang J, et al. Comparison of (64)Cu-DOTA-PSMA-3Q and (64)Cu-NOTA-PSMA-3Q utilizing NOTA and DOTA as bifunctional chelators in prostate cancer: preclinical assessment and preliminary clinical PET/CT imaging. Eur J Nucl Med Mol Imaging. 2025.
17.
Zurück zum Zitat Grubmuller B, Baum RP, Capasso E, et al. (64)Cu-PSMA-617 PET/CT Imaging of Prostate Adenocarcinoma: First In-Human Studies. Cancer Biother Radiopharm. 2016;31:277–86.PubMed
18.
Zurück zum Zitat Jeitner TM, Babich JW, Kelly JM. Advances in PSMA theranostics. Transl Oncol. 2022;22:101450.CrossRefPubMedPubMedCentral
19.
Zurück zum Zitat Krasnovskaya OO, Abramchuck D, Erofeev A, et al. Recent Advances in (64)Cu/(67)Cu-Based Radiopharmaceuticals. Int J Mol Sci. 2023; 24.
20.
Zurück zum Zitat Sheikhbahaei S, Afshar-Oromieh A, Eiber M, et al. Pearls and pitfalls in clinical interpretation of prostate-specific membrane antigen (PSMA)-targeted PET imaging. Eur J Nucl Med Mol Imaging. 2017;44:2117–36.CrossRefPubMed
21.
Zurück zum Zitat Luckerath K, Wei L, Fendler WP, et al. Preclinical evaluation of PSMA expression in response to androgen receptor blockade for theranostics in prostate cancer. EJNMMI Res. 2018;8:96.CrossRefPubMedPubMedCentral
22.
Zurück zum Zitat Rowe SP, Gorin MA, Hammers HJ, et al. Imaging of metastatic clear cell renal cell carcinoma with PSMA-targeted (1)(8)F-DCFPyL PET/CT. Ann Nucl Med. 2015;29:877–82.CrossRefPubMedPubMedCentral
23.
Zurück zum Zitat Tolkach Y, Gevensleben H, Bundschuh R, et al. Prostate-specific membrane antigen in breast cancer: a comprehensive evaluation of expression and a case report of radionuclide therapy. Breast Cancer Res Treat. 2018;169:447–55.CrossRefPubMed
24.
Zurück zum Zitat Shetty D, Loh H, Bui C, Mansberg R, Stevanovic A. Elevated 68Ga Prostate-Specific Membrane Antigen Activity in Metastatic Non-Small Cell Lung Cancer. Clin Nucl Med. 2016;41:414–6.CrossRefPubMed